
In 2004, the National Institute of Dental and Craniofacial Research said that Americans have, on average, seven filled permanent teeth in their lifetimes. A reported 92% of Americans struggle with dental caries present in permanent teeth. The National Institute of Dental and Craniofacial Research notes, “tooth decay (dental caries) is damage to a tooth that can happen when decay-causing bacteria in your mouth make acids that attack the tooth’s surface or enamel…If tooth decay is not treated, it can cause pain, infection, and even tooth loss.” But don’t worry. There’s a simple way to keep your teeth healthy and your smile intact!
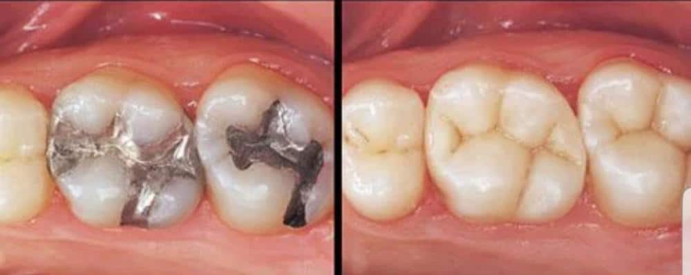
Dental amalgams, a common filling substance made of metals, are unsightly and even, in some cases, unsafe. The FDA recently reported that populations that are sensitive to mercury might experience severe side effects from amalgam fillings.
Here at Westwood Dental Esthetics, we highly recommend all-white fillings, a safe and effective alternative that have the added benefit of maintaining your natural smile. Our team will match your fillings’ color to your tooth enamel to ensure these fillings go unnoticed.
All-white fillings are made from resin-based composites and bond to the tooth. This process creates a tooth stronger than adding an amalgam filling, which often weakens a tooth. All-white fillings are both durable and aesthetically-pleasing, which is why they are currently the preferred method of tooth filling.
Contact our team at Westwood Dental Esthetics to schedule a consultation for your next filling, and keep your bright white smile!
